
6 Early Warning Signs of Osteoporosis
People with osteoporosis do not notice the symptoms until they have a bone fracture. Osteoporosis patients are prone to bone fracture and breakage, even with a mild fall or sometimes even a forceful cough or sneeze. Hence, one needs to understand the early warning signs of this disease.
1. Frequent cramps and pain in the bones
This is one of the first signs and symptoms of osteoporosis. Frequent cramps and bone pain indicate a deficiency of vitamin D, an essential vitamin that builds our bones. Though cramps and pain could be caused by other reasons, too, ruling out osteoporosis, especially in the elderly, is not a bad idea.
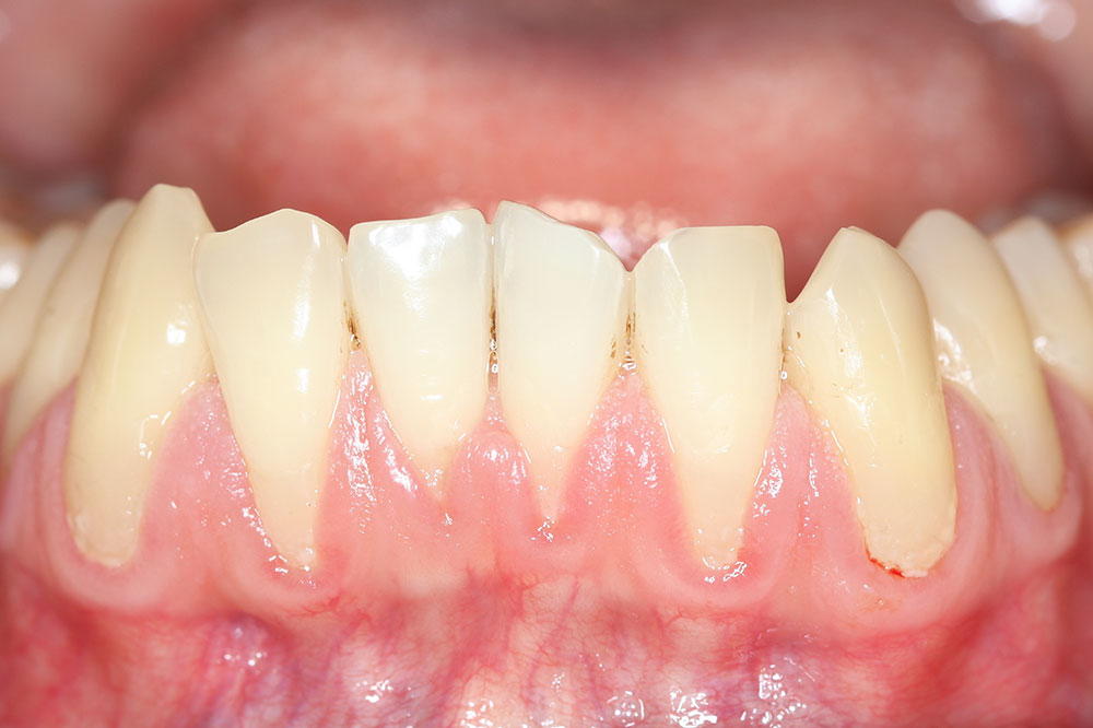
2. Diminishing gums
Bone loss is one of the common reasons for the receding of gums and is among the first signs and symptoms of osteoporosis. Our teeth are attached to the jawbones, and when the jaw bones start degenerating, the gums start receding, and we start losing our teeth. This happens in the lower jaw. Ask your dentist to report any bone loss he might come across during your oral X-ray.
3. Reducing grip strength
Have trouble opening that bottle of pickle or opening a heavy door nob? Well, it indicates reduced grip strength. Our grip is a good indicator of our muscle strength and bone density. A reduced grip, which is often a primary cause of fall amongst senior citizens, is counted as the first signs and symptoms of osteoporosis.
4. Fracture
Even mild trauma, such as getting hit by something, falling, or even coughing or sneezing, can cause a fracture for people who have osteoporosis. A fracture that is caused due to a trivial injury is amongst the first signs and symptoms of osteoporosis and needs careful examination by a medical practitioner.
5. Brittle nails
Seeing your nails chip off quite often in recent months? Well, it could be more than an iron deficiency. Brittle nails are also considered an early warning sign for osteoporosis. If you are taking your multi-vitamins, hydrating yourself well, and still have brittle nails, get yourself checked for osteoporosis.
6. Poor posture
Have you developed a widow’s hunch in recent months or have been keeping a poor posture lately? If yes, then you could have osteoporosis. Poor posture is a result of a fracture in the bones of the spine, which is common among those with osteoporosis. Get yourself checked immediately if you experience slight signs of developing a widow’s hunch.
Keep a lookout for the above-mentioned signs and report them to your medical practitioner at the earliest for proper diagnosis and treatment – whether it is for osteoporosis or some other disease.


